728x90

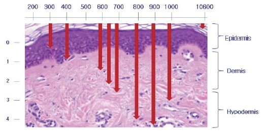
세포와 세포조직은 각각의 고유한 광 흡수 특성을 갖고 있습니다. 즉, 특정 파장의 광만을 흡수하는 것입니다. 광선요법의 최대 효율을 위해서는 광이 목적하는 세포나 세포조직까지 침투할 수 있는 파장을 선정해야 합니다.
운영홈페이지 : http://www.tcctech.co.kr
'LED란무엇인가?' 카테고리의 다른 글
| 광역동 요법 (0) | 2021.10.04 |
|---|---|
| 광 색상에 따른 피부에 활용 (0) | 2021.09.27 |
| 파장에 따른 피부 침투 (0) | 2021.09.06 |
| 800∼900 nm 파장의 피부치료 효과 (0) | 2021.08.30 |
| 630∼640 nm 파장의 피부치료 효과 (0) | 2021.08.23 |



